- القوات المسلحة الأردنية- الجيش العربي عن استهداف إيران لأراضي المملكة بخمسة صواريخ ومسيرة خلال الساعات الــــ 24 الماضية
- مجلس حقوق الإنسان التابع للأمم المتحدة يصدر قرارا يدين فيه الهجمات الإيرانية التي استهدفت دولا في الخليج والأردن، واصفا إياها بالانتهاك الجسيم للسيادة الوطنية والقانون الدولي
- مجلس النواب يوافق خلال الجلسة، وبأغلبية الأصوات، على توصيات اللجنة المالية النيابية بشأن تقرير ديوان المحاسبة السنوي الثالث والسبعين لعام 2024
- جامعة مؤتة و جامعة الحسين بن طلال تقرران تحويل دوام الطلبة ليوم الخميس، إلى نظام التعليم عن بُعد، وذلك نظرا للظروف الجوية المتوقعة وحرصا على سلامة الطلبة
- وزير الاتصال الحكومي، امحمد المومني، الأربعاء، يقول أنّ المخزون الاستراتيجي للأردن آمن ويلبي الاحتياجات ويدعو إلى عدم التهافت على شراء المواد الغذائية وتخزينها
- مديرية الأمن العام تحذر من الأحوال الجوية المتوقعة خلال الفترة المقبلة، داعية المواطنين إلى أخذ أقصى درجات الحيطة والحذر واتباع الإرشادات الوقائية حفاظا على سلامتهم
- جيش الاحتلال الإسرائيلي يقول أنه شن سلسلة غارات على طهران، مشيرا إلى أنها استهدفت بنى تحتية تابعة للنظام الإيراني
- مقُتل 7 عناصر من الجيش العراقي في الضربة على قاعدة عسكرية في محافظة الأنبار بغرب العراق صباح الأربعاء، والعراق يستدعي القائم بأعمال سفارة الولايات المتحدة في بغداد وتسليمه مذكرة احتجاج
- يتأثر الأردن تدريجيا الأربعاء، بحالة قوية من عدم الاستقرار الجوي، ويكون الطقس باردا في أغلب المناطق مع ظهور الغيوم على ارتفاعات مختلفة
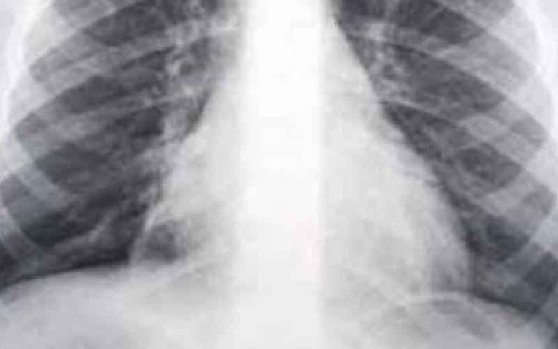
100 ألف إصابة بالالتهابات الرئوية سنويا
قدر مختصون عدد حالات الإصابة بالالتهاب الرئوي بمايتراوح مابين 70-100 الف إصابة سنويا في المملكة.
وقال أخصائي الأمراض الصدرية والعناية الحثيثة وأمراض النوم الدكتور لؤي الحسيني انه لاتوجد دراسات حول الإصابة بالالتهابات الرئوية في المملكة، وان هناك دراسات أجريت في امريكا وأوروبا يمكن القياس على نتائجها محليا.
وأضاف خلال محاضرة طبية قدمها بدعوة من الشركة الأردنية السويدية للأدوية (جوسوي) إن 25 بالمئة من الالتهابات الرئوية والحالات المرضية مقاومة للمضادات الحيوية.
وحذر من تزايد حالات الإصابة بالالتهابات الرئوية وخاصة في مثل هذا الوقت من السنة، خاصة وانها تودي بحياة 10 بالمئة من المصابين.
وبين الدكتور الحسيني ان تلك النسبة تعد مرتفعة وخطرة كونها تحمل معها زيادة في شدة الاصابة وتدهور الحالة المرضية مما قد يؤدي الى الوفاة ان لم يتم استخدام العلاج المناسب في الساعات الاولى للتشخيص.
ونصح المواطنين بأخذ مطعوم الانفلونزا لتجنب الإصابة بالانفلونزا الشديدة، وخص بالذكر الأطباء والممرضين والعاملين في القطاع الصحي والمصابين بالأمراض المزمنة وأمراض الصدر والانسداد الرئوي المزمن والفئات العمرية فوق سن الستين.
واشار إلى أن نسبة الالتهابات الرئوية تصل الى ما يقارب 6 اصابات لكل الف نسمة، وفي كبار السن تصل الى 30 إصابة لكل الف نسمة.
وبين الحسيني انه رغم ان معظم حالات الاصابة يمكن علاجها في العيادة دون الدخول للمستشفى، إلا أن 20 بالمئة من تلك الحالات تستلزم دخول المستشفى، وأحيانا إلى قسم العناية الحثيثة.
ولفت إلى أن نسبة الوفيات جراء الالتهابات الرئوية البكتيرية الشرسة تصل إلى 10 بالمائة من مجموع الاصابات السنوية، وهو ما يزيد من المسؤولية الواقعة على كاهل المجتمع الطبي في تشخيص المرض مبكرا واعطاء العلاجات الملائمة التي تضمن تحسن المريض والقضاء على البكتيريا المسببة.
وتحدث د.موسى صالح عن علاج افوكسين الذي يعد من المضادات التي تحد من انتشار البكتيريا المقاومة للمضادات الحيوية والتي يسلط عليها الضوء لخطورتها وصعوبة السيطرة عليها خلال العشرين سنة الماضية.
وأشار إلى الدراسات التي اجريت على المادة الفعالة في الدواء "الليفوفلوكساسين" في معالجة الالتهابات الرئوية والمسالك البولية والالتهابات الجلدية.
وبين أن الشركة طرحت في السوق الأوروبي علاج السعال (توسيفي ) والذي حصل على الاعتمادية الأوروبية، حيث تم طرحه في السوق الإسباني.











































